Ziekenhuis Oost-Limburg, Campus Sint Jan
Hospitalisatie
Synaps Park 1
3600 Genk
Gesloten
T. 089 / 80 74 50
Wat is het?
Slijtage van het polsgewricht.
Wat is de oorzaak?
Polsartrose is meestal het gevolg van een vroeger ongeval waarbij een breuk van het scafoid of een scheur van het scafo-lunaire ligament in de pols werd opgelopen. Indien deze letsels niet worden behandeld ontstaat over het verloop van 10-15 jaar progressieve slijtage van het polsgewricht. Deze slijtage verloopt volgens een vast patroon.


Foto: 'progressieve polsartrose door een miskende scheur van het scafo-lunaire ligament'
Minder frequente oorzaken van artrose zijn een slecht geheelde distale radiusfractuur, reuma, chondrocalcinose of avasculaire necrose van het os lunatum (ziekte van Kienböck) of het scafoid (ziekte van Preiser).
Wat zijn de symptomen?
Pijn, zwelling en bewegingsbeperking van de pols.
Hoe wordt de diagnose gesteld?
Radiografische opnames volstaan meestal.
Wat is de behandeling?
De initiële behandeling bestaat uit het dragen van een stevige polsbrace, zo nodig gecombineerd met de inname van pijnstillers of het af en toe plaatsen van een cortisone-infiltratie.
Wanneer hiermee onvoldoende pijnverlichting wordt bereikt, wordt overgegaan tot operaties.
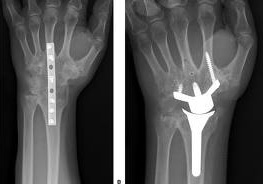
In de meeste gevallen blijft een deel van het kraakbeen (de glij-oppervlakken van het gewricht) gespaard. Door alleen de versleten glij-oppervlakken weg te nemen en/of vast te zetten wordt de pijn verbeterd. Omdat de goede glij-oppervlakken worden gespaard behoudt de patiënt toch nog enige polsbeweeglijkheid. De meest gebruikte operatietechniek is de 'scafoidectomie en 4 corner fusie'. Deze operatie bestaat erin het scafoid-beentje weg te nemen en 4 andere beentjes te laten vastgroeien.

Gemiddeld heeft een patiënt na deze ingreep een duidelijke verbetering van de pijn, blijft 45% van de normale polsbeweeglijkheid bewaard, en is er een verbetering van de kracht van 41% naar 80% van de andere zijde.
Indien het volledige polsgewricht versleten is, dient het volledige polsgewricht te worden vastgezet om de pijn de verbeteren. Alhoewel de pols niet meer beweegt, blijft de patiënt wel in staat met de onderarm te draaien en met de vingers te bewegen. Ook zware belasting blijft mogelijk.
In uitzonderlijke gevallen kan worden gekozen voor een bewegingssparende polsprothese. Na deze ingreep dient de belasting wel te worden beperkt om vroegtijdige slijtage of loslating van de prothese te voorkomen.

Synaps Park 1
3600 Genk
Gesloten
T. 089 / 80 74 50
Grotestraat 36
3600 Genk
Gesloten
T. 089/518360